Mouth Rehabilitation

Full mouth reconstruction is the use of many methods of dentistry to create the correct relationship between gums, bones, muscles, and teeth. The mouth is a complex machine. Without a proper bite, chewing can become impaired, teeth can become worn out, the jaw and neck can become sore, and even migraine can occur. Dental bonding, porcelain veneers and crowns, dental implants, and teeth whitening are all potential procedures that can be used in a full mouth reconstruction. The result is a perfect smile! Crowded teeth, poor dental care and the age of your teeth - all can contribute to this condition. When your teeth are out of ideal alignment, enormously destructive forces begin to attack teeth. Every time your jaw closes, the damage continues. Tooth breakage and pain of the jaw, neck and head often ensue. In addressing and correcting these problems, not only do patients find relief, improved function and better oral health, but they also are delighted to achieve a beautiful smile line and more youthful appearance.

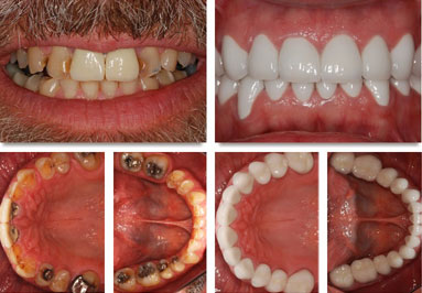
With full-mouth reconstruction the entire mouth is beautified with a more comfortable bite and less tension in the jaw and neck.

If you have worn, broken, decayed or missing teeth, or if you suffer from a bad bite and if the appearance of your entire smile is keeping you down, then you have the right dentist. With his advanced studies and expert training in full-mouth reconstruction dentistry, he has become a renowned doctor. In our practice, we take utmost care to add comfort in the procedure by using advanced instruments and sterilization techniques. In diagnosis, it is first determined if your bite is significantly contributing to your symptoms. He can create a provisional new bite for you that will alleviate your symptoms and also make you feel comfortable.
We believe, it is important for you to be comfortable with the new bite before a financial commitment is made to receive Full-Mouth Reconstruction. If the initial assessment indicates that your symptoms of jaw pain, neck pain and/or headaches can be improved with corrective bite (occlusal) treatment, we prefer to stimulate the corrected-bite orthodontics first. Once patients experience significant relief from symptoms and obtain the desired results, then Full-Mouth Reconstruction is recomended to sustain the optimal bite permanently.